Воронежские врачи собрали ногу пациентки необычным способом
Читайте также:
- Воронежцев предупредили о сборе персональных данных через телеграм-бот (02.05.2025 16:25)
- Опасные приключения детей-зацеперов попали на видео в Воронеже (02.05.2025 17:00)
- "Таинственный" труп козла заметили в неожиданном месте Воронежа (02.05.2025 16:00)
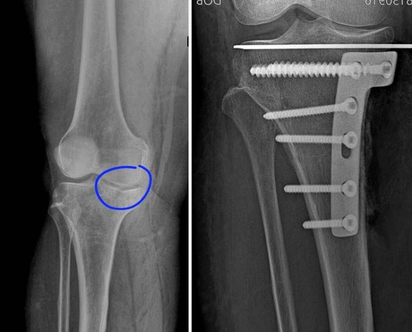
Женщина упала с лестницы.
Врачи Воронежской городской клинической больницы № 2 провели операцию таким способом, который ранее не использовали в стенах этого медучреждения. 56-летняя женщина поступила в отделение травматологии ВГКБ №2 с болями в коленном суставе, которые появились после падения с лестницы.
У пациентки диагностировали оскольчатый компрессионный перелом медиального мыщелка левой большеберцовой кости со смещением отломков и кровоизлияние в полость левого коленного сустава.
«Специалистами было принято решение о применении не используемого ранее в больнице способа остеосинтеза внутрисуставных компрессионных переломов под контролем артроскопии», - рассказали в региональном минздраве.
Без вскрытия суставов медики сопоставили отломки и зафиксировали их спицей, а далее – опорной титановой платиной и винтами.
Такая малоинвазивная и малотравматичная операция позволит женщине быстрее восстановиться и снизит риск послеоперационных осложнений. Сейчас пациентка находится в стационаре.
Филипп Котов
Новости на Блoкнoт-Воронеж