-
Общество Земля грозит разверзнуться на месте люка в Воронеже
07.05.2025
Дорога итак в дребезги
-
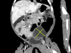
Общество Новорождённую девочку с кистой в брюшной полости спасли медики в Воронеже
07.05.2025
Пришлось проводить операцию в ВОДКБ №1
-
Общество Глава воронежской Росгвардии покинет пост ради работы в Москве
07.05.2025
Речь идёт о Дмитрии Астафьеве
-
Общество Как частному врачу успешно продвинуть свои услуги в Воронеже
07.05.2025
Одна минута времени, а сколько пользы
-
Общество Сенатор Сергей Лукин инициировал создание музея Совета ветеранов Советского района Воронежа
07.05.2025
Мероприятие прошло в теплой дружеской обстановке
-
Общество Неизвестные разбили окно в приемной Дмитрия Медведева в Воронеже
07.05.2025
Треснувшее стекло запечатлели на фото в здании на проспекте Революции
-
Экономика «Честный знак» опроверг слухи о хрустящей проблеме России
07.05.2025
«Информация не соответствует действительности»
-
Общество Воронежского чиновника осудят за смерть друга на охоте
07.05.2025
Алексей Кожанов предстанет перед судом
- Общество Садоводам приготовиться: ярмарка «Май! Сад! Град!» открывается в Воронеже 07.05.2025
-
Общество Настоящий водопад забил в Воронеже - опубликовано видео
07.05.2025
Он появляется только во время дождя
- В Воронеже
- Обрушилась часть подъезда, десятки людей эвакуируют: последствия удара ВСУ по Воронежу 10.12.2025 Происшествия
- Повреждены дома, проблемы с отоплением, эвакуация: последствия атаки ВСУ на Воронеж 11.12.2025 Общество
- Громкий взрыв, перебои электричества и сирены: ракетная опасность объявлена в Воронежской области 10.12.2025 Происшествия
- "Не ребенок, а взрослая шаболда": борец с педофилами из Воронежа жестко прошлась по детским конкурсам красоты 12.12.2025 Общество
- «Воздушную цель» сбили на подлёте к Воронежу: есть повреждения на левом берегу города 10.12.2025 Происшествия
- Воронеж в ледяном плену: прогноз погоды на ближайшие дни 14.12.2025 Погода в Воронеже
- Воронежской выпускнице вуза аннулировали диплом 12.12.2025 Общество
- В Воронеже ветер решил перенести Новый год: ёлка легла отдохнуть 13.12.2025 Общество
- Пробки, космические цены на такси и давки на остановках: как Воронеж встретил первый снег 10.12.2025 Общество
- «Умер на кафеле с открытыми глазами»: воронежец скончался после падения с каталки в больнице сегодня в 12:28 Общество