Чудо совершили воронежские врачи
Читайте также:
- Грузовик, разливающий биологические отходы, задержали под Воронежем (03.08.2025 10:06)
- Мэр Воронежа показал последствия атаки БПЛА (03.08.2025 09:33)
- Серьезные неприятности навлек на себя воронежец на иномарке (03.08.2025 10:24)
Медики вылечили редкое и тяжелое осложнение.
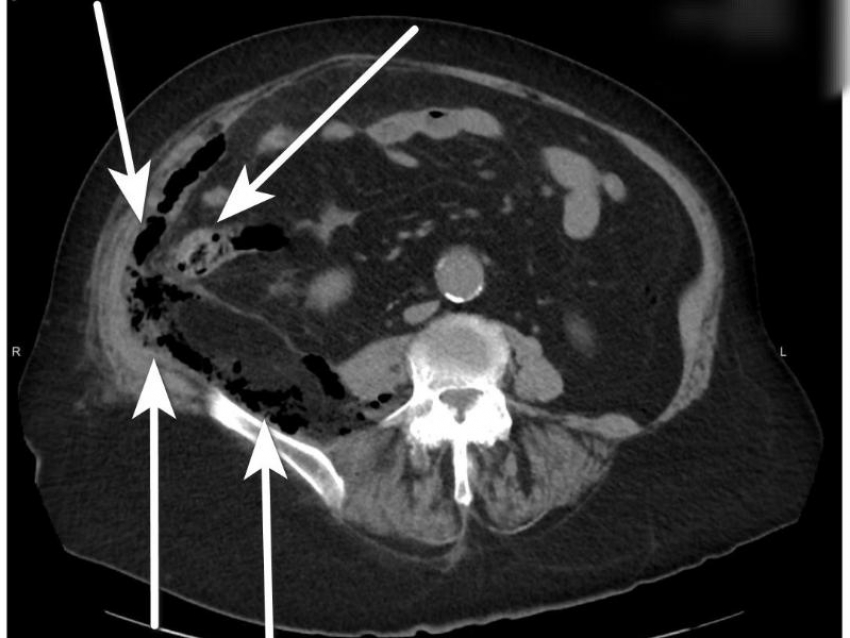
Редкое и тяжелое осложнение аппендицита вылечили воронежские медики из БСМП №1. В конце июня в хирургическое отделение больницы поступила 78-летняя пациентка с болями внизу живота и в пояснице. У пенсионерки была высокая температура.
Осмотрев пожилую местную жительницу, врачи озвучили диагноз: острый деструктивный аппендицит, осложненный забрюшинной флегмоной.
«Острый аппендицит – одно из самых распространённых заболеваний, требующих своевременного вмешательства. В редких случаях он может осложниться развитием забрюшинной флегмоны – опасного состояния, при котором гнойное воспаление распространяется за пределы аппендикса в забрюшинное пространство», – сообщают в пресс-центре регионального минздрава.
Чаще всего это происходит из-за несвоевременного обращения за помощью и на фоне сниженного иммунитета.
Пенсионерке экстренно удалили аппендикс, выполнили санацию и дренировали все очаги гнойного воспаления. Из-за гнойного процесса, сахарного диабета и хронической почечной недостаточности послеоперационный период был тяжелым. Медикам удалось стабилизировать состояние женщины и избежать летального исхода.
На девятнадцатый день пациентку выписали. Ее состояние оценивали как удовлетворительное.
Подписывайтесь на телеграм-канал «Блокнот Воронеж» и узнавайте всё первыми.
Филипп Котов
Новости на Блoкнoт-Воронеж