Средиземноморскую лихорадку выявили у воронежского пенсионера
Читайте также:
- Спортивный директор "Факела" дисквалифицирован на месяц за оскорбление судей (14.11.2025 09:50)
- «Бизнес-миссию» запустили в Воронеже — что это такое и кто участвует (14.11.2025 10:31)
- Экс-депутат и бизнесмен Анатолий Шмыгалев отмечает 60-летний юбилей в Воронеже (14.11.2025 09:19)
70-летний воронежец попал в нефрологическое отделение БСМП №10, где у него выявили генетическую патологию.
Его мучило снижение диуреза (объёма урины, выделяемой за определённый промежуток времени), была нарушена функция почек, наблюдались длительные боли в животе и был снижен аппетит.
Его много раз осматривал хирург, проводили обследования и лапароскопию. Но диагноз был не ясен. Консервативная терапия почечной недостаточности не была эффективна.
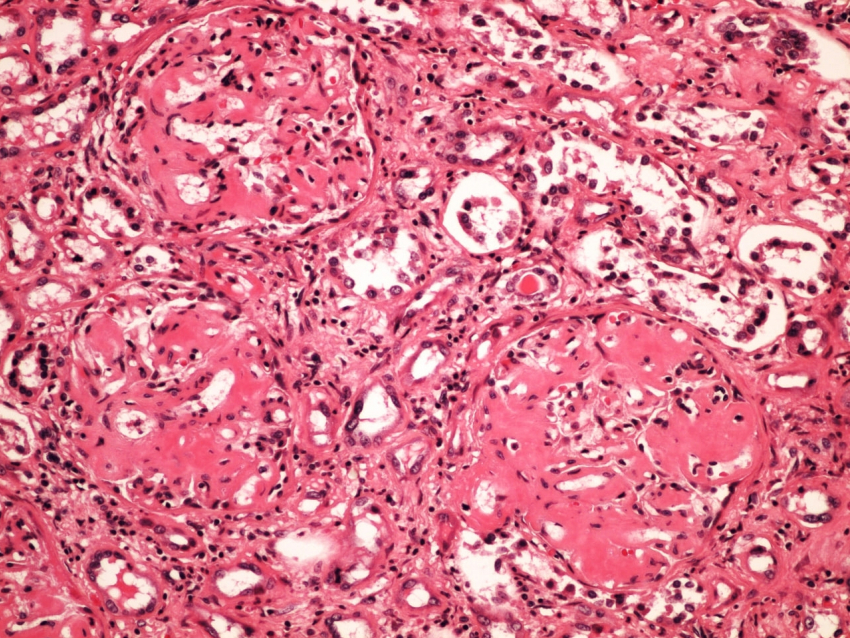
Доктора решили провести заместительную почечную терапию. Тогда врачи заподозрили средиземноморскую лихорадку. Это – наследственный семейный амилоидоз. Обычно болезнь поражает легкие, ЖКТ и суставы. Для проверки диагноза провели биопсию почек. Обследования выявили тот самый амилоидоз (нарушение белкового обмена) почек. Это подтвердило гипотезу о лихорадке.
– Семейная средиземноморская лихорадка (ССЛ, периодическая болезнь) – редкое генетическое заболевание. Встречается с частотой 2,5 случая на 100 тыс. человек. Главная причина – мутации в гене MEFV. Для развития болезни человек должен унаследовать две копии мутировавшего гена – по одной от каждого родителя. Часто она проявляет себя в детстве, но иногда симптомы могут дать о себе знать в более позднем возрасте, – комментируют врачи.
Сейчас состояние пациента улучшилось, аппетит вернулся, показатели почек нормализовались, боли в животе больше не беспокоят.
В ревматологам и генетикам мужчину отправили в удовлетворительном состоянии, где потвердели диагноз о лихорадке. Пациенту назначили патогенетическую терапию патологии.
У внука мужчины выявили ту же болезнь.
Обследование провели и родственникам – эту же болезнь выявили у внука мужчины.
На фото – амилоидоз почек.
Екатерина Кочетова
Новости на Блoкнoт-Воронеж