БСМП Новости Блокнот-Воронежа
-
Фасад и инженерные сети за 334 млн обновят в воронежской БСМП №1 12.03.2026 Общество -
«Умер на кафеле с открытыми глазами»: воронежец скончался после падения с каталки в больнице 17.12.2025 Общество -
"Водители матерятся": жуткие ямы возле БСМП беспокоят воронежцев 22.10.2025 Общество -
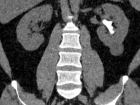
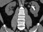
Воронежские врачи удалили из почки пациента камень размером с перепелиное яйцо 05.09.2025 Общество -
Воронежец получил серьезнейшую травму, нырнув в реку 28.08.2025 Общество -
Один из самых высокооплачиваемых воронежских главврачей отмечает день рождения 21.06.2025 Общество